التركيبات – استعادة الوظيفة والمظهر الطبيعي بدقة عالية

في Dental Science Center – مركز د. خالد توفيق، نؤمن أن التركيبات السنية ليست مجرد بديل للأسنان المفقودة، بل هي حل متكامل يعيد التوازن بين الوظيفة، الجمال، والنطق الصحيح.

نستخدم أحدث تكنولوجيا التصميم والطباعة والتفريز الرقمي (CAD/CAM) لتقديم تركيبات ذات دقة فائقة وجودة طويلة الأمد، تناسب كل حالة بشكل فردي.

 نقدم لك مجموعة متكاملة من التركيبات:

  • تيجان وجسور ثابتة من الزيركون والإيماكس
    لمظهر طبيعي وقوة تحمل عالية، دون معدن داخلي يؤثر على اللثة أو اللون.
  • تركيبات على الزرعات
    نُصمّم تركيبات متصلة بزرعات الأسنان تعطيك الثبات والشكل الطبيعي الذي تحلم به، سواء لحالة سن واحد أو فك كامل.
  • الأطقم المتحركة المرنة (Flexibles)
    خفيفة، مريحة، وتمنحك ابتسامة طبيعية دون مشابك معدنية ظاهرة.
  • التركيبات المؤقتة الفورية
    تُستخدم خلال مراحل العلاج لضمان راحة المريض ومظهره الجمالي.
  • إعادة تأهيل كامل للفكين (Full mouth rehabilitation)
    للحالات المعقدة التي تتطلب تخطيطًا شاملاً لإعادة بناء الابتسامة والوظيفة.

 لماذا تختارنا؟

  • استخدام أجهزة حديثة مثل الماسحات الرقمية والماسحات ثلاثية الأبعاد
  • تعاون كامل بين طبيب الأسنان وفني المعمل الداخلي لضمان دقة اللون والمقاسات
  • مواد عالية الجودة معتمدة عالميًا
  • خطة تصميم مسبقة تتيح للمريض تصور النتيجة قبل بدء التنفيذ

  استعد لابتسامة جديدة اليوم
فريقنا في Dental Science Center سيقدم لك تقييمًا دقيقًا وخطة علاج مناسبة، تضمن لك أفضل النتائج من حيث
الراحة، المظهر، والاستمرارية.

حالات ملهمة

تصميم مُبتكر مُحكم للـ Post & Core المصنوع خصيصًا من الزيركون

ترميم فك علوي


ترميم الفك العلوي و تصميم ابتسامة جديدة

فينير لسن امامي ومحاكاه المظهر والالوان الطبيعية

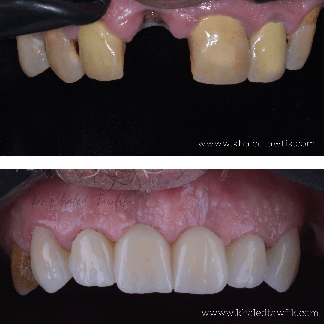
ترميم الفك العلوي و تصميم ابتسامة جديدة

ترميم الاسنان الامامية و تصميم ابتسامة جديدة

تصميم ابتسامة رقمية و تعويض فك كامل

تصميم ابتسامة رقمية و تعويض فك كامل

تصميم ابتسامة رقمية و تعويض فك كامل

جسر زيركون 6 اسنان امامية

جسر زيركون 5 اسنان

جسر زيركون 6 اسنان امامية

جسر زيركون متعدد الطبقات 9 اسنان

جسر ايماكس 6 اسنان